Tel
Web予約
Instagram
メニューを開閉する
当院について
HOME
当院のコンセプト
医師紹介
医院紹介・アクセス
料金表
症例紹介
お知らせ
ブログ
矯正歯科
矯正治療について
成人矯正治療
小児矯正治療
マウスピース矯正
お悩み別メニュー
ガタガタの歯並び・ガチャ歯
口ゴボ・出っ歯
すきっ歯
受け口
噛み合わせが深い
一般歯科
虫歯治療
根管治療
歯周病治療
詰め物・被せ物
入れ歯・ブリッジ
予防歯科
小児歯科
ホワイトニング
診療日のご案内
月
火
水
木
金
土
日/祝
矯正歯科
●
●
●
/
●
□
/
一般歯科
●
●
/
/
●
□
/
●…平 日
午前 10:00〜13:00
午後 14:30〜18:30
□…土曜日
午前 09:00〜13:00
午後 14:00〜17:00
HOME
TEL
WEB予約
Instagram
MENU
Case
症例紹介
HOME
症例紹介
口ゴボ・出っ歯
25歳 女性 出っ歯を治したい(ワイヤー矯正・裏側)
カテゴリー
ガタガタの歯並び・ ガチャ歯
すきっ歯
ホワイトニング
受け口
口ゴボ・出っ歯
噛み合わせが深い
2025.09.17
25歳 女性 出っ歯を治したい(ワイヤー矯正・裏側)
口ゴボ・出っ歯
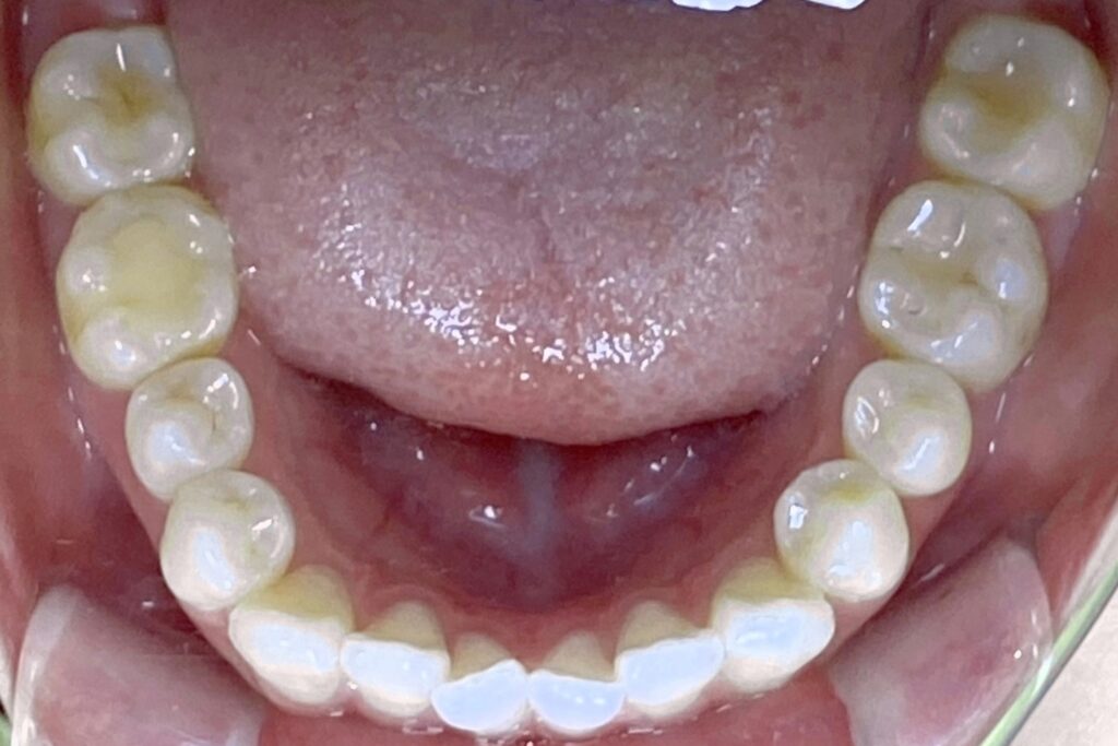
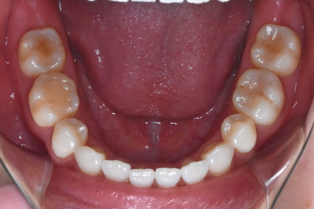
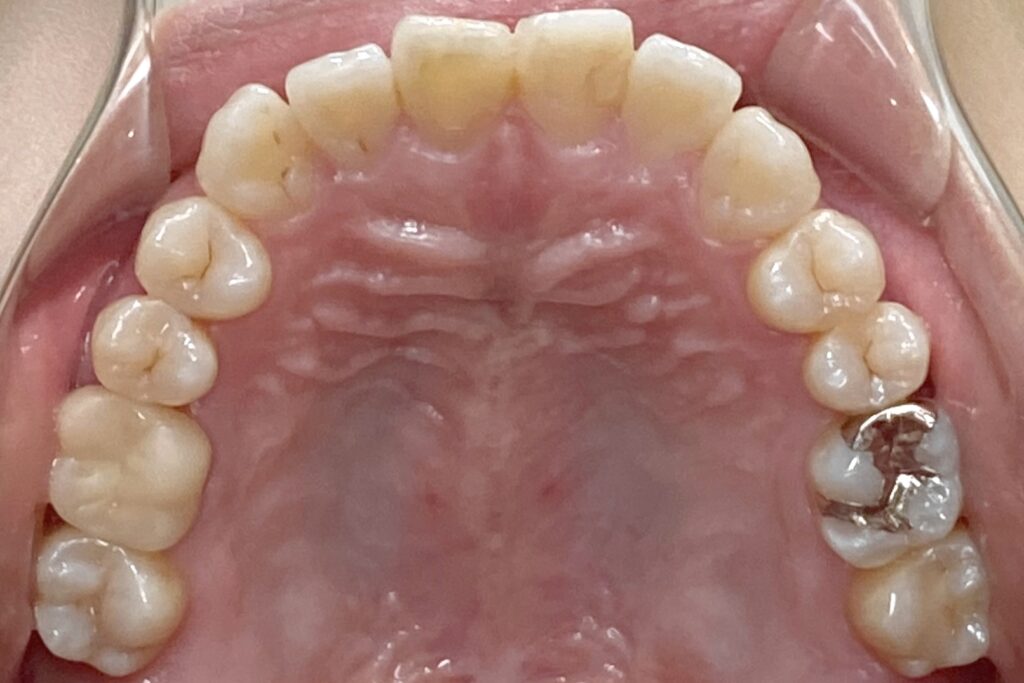
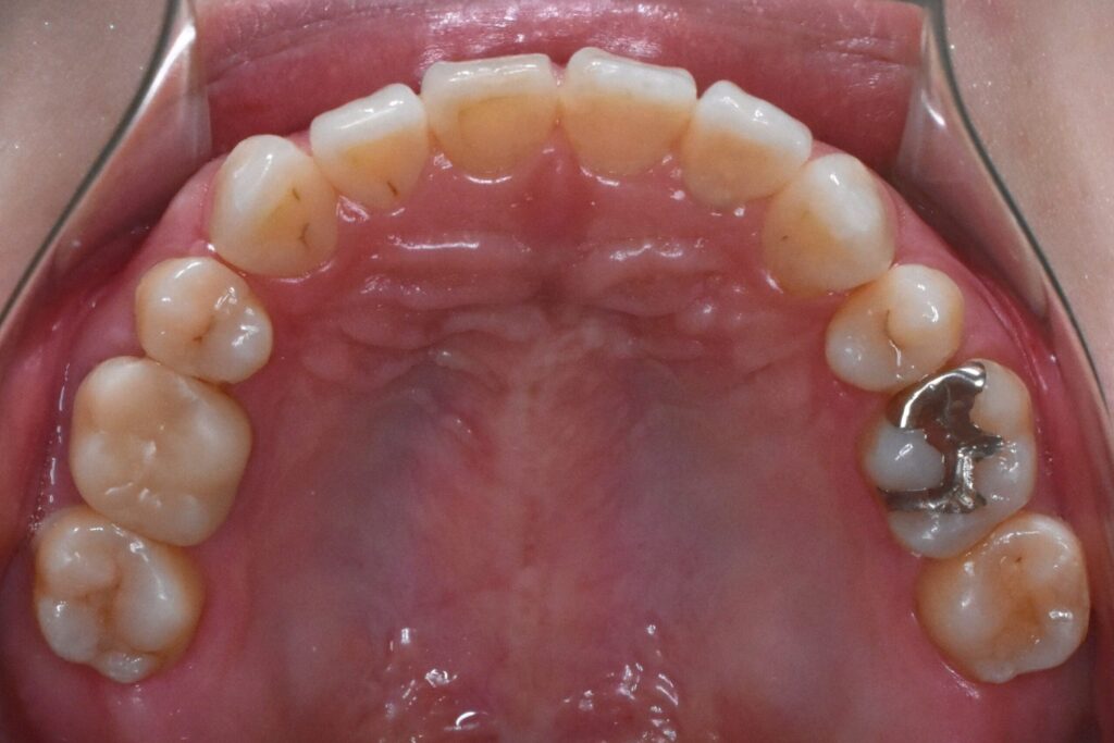
Before
After
Before
After
治療方法
ワイヤー矯正(裏側) 上下4本抜歯
通院時の年齢・性別
25歳 女性
通院回数
29回
費用
1,375,000円
注意点
歯肉退縮、歯根吸収
ALL